抜けた歯を補いたい 〜ブリッジ
歯がなくなってしまった部位(欠損)を補う方法の一つで、両隣の歯を土台として、人工の歯を橋のように架けるものです。
ブリッジとは?
歯がなくなってしまった部位(欠損)を補う方法の一つで、両隣の歯を土台として、人工の歯を橋のように架けるものです。欠損を補う方法は他に、義歯、インプラント、歯の移植などがありますが、その中でもブリッジは歴史のある治療法です。材料は限定されてしまうものの、保険診療でも取り扱うことができます。もちろん自費診療であれば、セラミックやジルコニアなどの審美性に優れ、健康的な材料を使用することも可能です。メリットは、セメントを使用して固定するので、安定感に優れ、普通の歯のように咀嚼することができることです。一方デメリットは、土台となる両隣の歯を削る必要があるということです。

ブリッジが適している場合
義歯とブリッジを比較するとブリッジの方が長期的な安定性が高いため(義歯の場合、支えとなる歯が徐々に揺れてくるので、支えの寿命が短くなる恐れがあります)、両方が選択肢として挙がる場合はブリッジをお勧めします。一方、インプラントとブリッジが選択肢に挙がる場合は様々な角度から検討が必要です。前述のようにブリッジは欠損部位の両隣の歯を削って作成するものですので、両隣の歯が一度も治療を受けたことがない健康な歯である場合はあまりお勧めできません。逆に虫歯や、根の病気が原因で過去に治療を受けている歯であれば、適していると言えます。また、歯周病が進行している場合は、歯が揺れている上に、骨が吸収しているため、インプラントによる治療が困難な場合があります。このような場合はブリッジを装着することで、困難なインプラント治療を回避できますし、歯の揺れも止めることができるので、適していると言えます。前歯の部分的な欠損に対して、インプラント治療を選択するとあまりにも治療が複雑になる(骨造成や歯肉の移植手術が必要になるなど)場合もブリッジにすることで、審美性を十分に確保した治療をシンプルに処置できることがあります。
ブリッジの種類について
保険のブリッジ
金銀パラジウム合金という保険で使用可能な金属を用いて作成します。前歯部であれば、金属のベースの上にプラスチックをのせることで審美性を確保します。メリットは安価であること、デメリットはプラスチックが経年的に変色することやプラークが付着しやすいため健康的ではないことなどが挙げられます。
メタルボンドブリッジ
良質な金属を用いてベースを作り、その上にセラミックを焼き付けて作成します。歴史ある材料で、審美性が良く、セラミックにはプラークが付着しないため健康面も優れています。デメリットは自費診療ですので、保険に比べて高価になることです。

ジルコニアブリッジ
金属を使用せずにジルコニアを使用して作成するブリッジです。審美性が良く、健康面も優れています。歴史は短いので、慎重に適応症を考慮する必要があります。デメリットは自費診療ですので、保険に比べて高価になることです。

症例紹介
39歳男性
- 治療前

- 仮歯を装着した状態

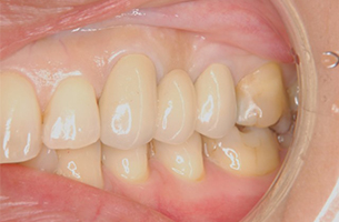
- 保険のブリッジを装着

| 主訴 | 左側で物がかみづらい。 |
|---|---|
| 診断 | 左上の大臼歯が一本ないことによる咀嚼障害 |
| 治療方針 | 左上に保険のブリッジを作成する。歯周病と噛み合わせの問題により歯がぐらぐらしていたため、支えとなる歯の本数を通常より1本増やしました。 |
| 治療期間 | 6ヶ月(歯周病治療、仮歯を装着した状態での経過観察期間を含む) |
| 治療費 | 約2万5000円(保険診療) |
42歳女性
- 治療前

- ブリッジを除去した状態

- メタルボンドブリッジを装着

| 主訴 | 左上の歯の色が気になる。 |
|---|---|
| 診断 | 左上のブリッジに使用している金属が透けて歯が黒く見えている。 |
| 治療方針 | ブリッジを新たに作成する。材料はメタルボンドを使用。 |
| 治療期間 | 1.5ヶ月 |
| 治療費 | 24万円(8万円×3本分)+税 |
48歳女性
- 治療前

- 仮歯を装着した状態

- ジルコニアブリッジを装着

| 主訴 | 前歯の見た目が気になる。 |
|---|---|
| 診断 | 前歯部に変色、変形がみられ、前歯2本の根がわれている。 |
| 治療方針 | 根が割れている前歯を抜歯し、その後前歯部にブリッジを作成する。材料はジルコニアを使用。 |
| 治療期間 | 6ヶ月(抜歯後3ヶ月間治癒を待ち、仮歯を経て、完成) |
| 治療費 | 48万円(8万円×6本)+税 |
61歳女性
- 左下6抜歯後の状態

- 土台を調整した状態

- ジルコニアブリッジを装着

| 主訴 | 左下が痛い |
|---|---|
| 診断 | 左下の奥歯の根が割れている。 |
| 治療方針 | 左下の一本の奥歯は根が割れているため抜歯し、その後左下にブリッジを作成する。材料はジルコニアを使用。 |
| 治療期間 | 4ヶ月(抜歯後2ヶ月間治癒を待ち、仮歯を経て、完成) |
| 治療費 | 24万円(8万円×3本)+税 |
先生からのコメント
欠損を補う治療には様々な選択肢があり、患者さんによって優先する事項が異なります。お話を十分聞いた上で、お勧めの治療法をいくつか提示させていただきますので、その中でご納得いただける治療をご選択ください。